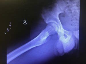
Lesser Trochanter Fracture Treatment / Anteroposterior radiograph demonstrating left hip lesser ... - This injury is a result of a sudden forceful contraction of the iliopsoas tendon.

Lesser Trochanter Fracture Treatment / Anteroposterior radiograph demonstrating left hip lesser ... - This injury is a result of a sudden forceful contraction of the iliopsoas tendon.. Intertrochanteric fractures are one of the three types of hip fractures, other two being fractures of the femoral neck and subtrochanteric fractures of femur. Current treatment of intertrochanteric fractures involves surgical intervention. In the intramedullary nail shown here a spiral blade device is used to. Greater and lesser trochanter fracture causes & treatment. Nonoperative treatment demonstrated good clinical course.

Lesser trochanter fracture treatment isolated fractures of the lesser trochanter are rare and there is no consensus on how to best treat them. Greater trochanter and lesser trochanter. The word fracture implies to broken bone. The trochanter is part of the femur (thigh bone) that is connected to the hip bone in a yes a hairline fracture can heal by itself but the treatment modality depends on the age of the patient, type of fracture and the effected bone. Implant failure occurs within the first three months.

(PDF) Avulsion fracture of the lesser trochanter apophysis
(PDF) Avulsion fracture of the lesser trochanter apophysis from i1.rgstatic.net
These fractures are seen most commonly in the elderly and are usually the result of a fall. The goal of treatment for this particular type of fracture should be to restore the patient to his or her. This new sporting activity involves kicking the ball continuously, typically with both the hip and the knee in flexion. • basicervical fractures potentially are at risk. Anterior greater trochanter posterior greater trochanter. An intertrochanteric fracture occurs between the greater and lesser trochanters. In all intertrochanteric fractures, if the fracture line extends distally, a long nail will be necessary. In the intramedullary nail shown here a spiral blade device is used to.

In all intertrochanteric fractures, if the fracture line extends distally, a long nail will be necessary.

Hip fractures, especially fractures of the femoral head, are often associated with a hip dislocation. The goal of treatment for this particular type of fracture should be to restore the patient to his or her. Anterior greater trochanter posterior greater trochanter. An intertrochanteric fracture occurs between the greater and lesser trochanters. Greater and lesser trochanter fracture causes & treatment. The lesser trochanter projects from the base of the. An initial manifestation of metastatic malignant disease. The iliopsoas attaches to the lesser trochanter, resulting in internal rotation and external rotation with fractures. In all intertrochanteric fractures, if the fracture line extends distally, a long nail will be necessary. This injury is caused by severe impact, usually in context of contact sports and following a forceful and sudden muscle contraction of the iliopsoas with avulsion fracture of the. An intertrochanteric fracture occurs along a line that is located between the greater and lesser trochanters. The lesser trochanter of the femur is a conical eminence, which varies in size in different species. Avulsion fractures of the lesser trochanter in adolescents are uncommon.

Intramedullary nailing has become increasingly common in the treatment of subtrochanteric fractures and currently represents the best available implant technique. Avulsion fractures of the lesser trochanter in adolescents are rare. The iliopsoas attaches to the lesser trochanter, resulting in internal rotation and external rotation with fractures. Implant failure occurs within the first three months. The greater and lesser trochanters are two anatomic areas on the upper.

In order to prevent further fractures of the right lesser ...
In order to prevent further fractures of the right lesser ... from www.researchgate.net
If the fracture is a simple avulsion fracture due to forceful contraction of the iliopsoas, surgery can help realign the bone fragments. Nonoperative treatment demonstrated good clinical course. The lesser trochanter of the femur is a conical eminence, which varies in size in different species. An intertrochanteric fracture occurs along a line that is located between the greater and lesser trochanters. Current treatment of intertrochanteric fractures involves surgical intervention. Hip fractures, especially fractures of the femoral head, are often associated with a hip dislocation. Subtrochanteric fractures are a heterogeneous and imprecisely defined category of fractures in the area of the lesser trochanter. Radiographs are an important tool in the assessment of hip pain in adolescents.

Subtrochanteric fracture occurs below the lesser trochanter, in a region that is between the lesser trochanter and an area approximately 2 1/2 inches below.

Nonoperative treatment demonstrated good clinical course. This new sporting activity involves kicking the ball continuously, typically with both the hip and the knee in flexion. The treatment for this type of fracture remains challenging as the disease is usually discovered at final stage. Avulsion fractures of the lesser trochanter in adolescents are rare. In the intramedullary nail shown here a spiral blade device is used to. This injury is a result of a sudden forceful contraction of the iliopsoas tendon. Lesser trochanter fracture anatomy • lesser trochanter is attachment site for iliopsoas mechanism • fracture may be due to avulsion • in the absence of injury, isolated lesser trochanter fracture is highly suspicious for an underlying malignancy imaging • obtain mri to assess extent of. The iliopsoas attaches to the lesser trochanter, resulting in internal rotation and external rotation with fractures. In all intertrochanteric fractures, if the fracture line extends distally, a long nail will be necessary. The goal of treatment for this particular type of fracture should be to restore the patient to his or her. Although the treatment of apophyseal injuries rarely requires surgical intervention, 3 other injury patterns may cause hip pain. In case of primary tumors with clear. We report the case of a skeletally immature freestyle footballer who presented with avulsion fracture of the lesser trochanter.

Lesser trochanter fracture treatment isolated fractures of the lesser trochanter are rare and there is no consensus on how to best treat them. The goal of treatment for this particular type of fracture should be to restore the patient to his or her. The lesser trochanter of the femur is a conical eminence, which varies in size in different species. Although the treatment of apophyseal injuries rarely requires surgical intervention, 3 other injury patterns may cause hip pain. The greater and lesser trochanters are two anatomic areas on the upper.

Proximal Femur Fractures - by Jeffrey Shyu, MD
Proximal Femur Fractures - by Jeffrey Shyu, MD from image.slidesharecdn.com
This injury is caused by severe impact, usually in context of contact sports and following a forceful and sudden muscle contraction of the iliopsoas with avulsion fracture of the. Mckinney and nelson used the treatment of such injuries is predominantly conservative. This injury is a result of a sudden forceful contraction of the iliopsoas tendon. Extracapsular fractures of the proximal femur between the greater and lesser trochanters. A trochanteric hip fracture occurs along the intertrochanteric line which is the line between the greater trochanter and the lesser trochanter. The greater and lesser trochanters are two anatomic areas on the upper. Eberle et al 39 showed that the lack of calcar. Isolated fracture of the lesser trochanter in adults:

This injury is a result of a sudden forceful contraction of the iliopsoas tendon.

Avulsion fractures of the lesser trochanter in adolescents are rare. Greater and lesser trochanter fracture causes & treatment. They are a result of a sudden and forceful contraction of the iliopsoas muscle. If the fracture is a simple avulsion fracture due to forceful contraction of the iliopsoas, surgery can help realign the bone fragments. In the intramedullary nail shown here a spiral blade device is used to. Lucent region in the intertrochanteric region. The iliopsoas attaches to the lesser trochanter, resulting in internal rotation and external rotation with fractures. It is preferable for a number of reasons to use a long extramedullary device even though a limited open reduction may be necessary. Intramedullary nailing has become increasingly common in the treatment of subtrochanteric fractures and currently represents the best available implant technique. An initial manifestation of metastatic malignant disease. Avulsion fractures of the lesser trochanter, greater trochanter, and iliac crest are less common.3. The severe displaced lesser trochanter may increase postoperative complications and postoperative pain in the treatment of unstable trochanteric femur fractures. These fractures are seen most commonly in the elderly and are usually the result of a fall.

Although the treatment of apophyseal injuries rarely requires surgical intervention, 3 other injury patterns may cause hip pain lesser trochanter fracture. The trochanter is part of the femur (thigh bone) that is connected to the hip bone in a yes a hairline fracture can heal by itself but the treatment modality depends on the age of the patient, type of fracture and the effected bone.

Comments